半导体行业作为现代科技的基石,被誉为“工业粮食”,尽管会经历周期性波动,但长期规模呈稳步上升趋势。据WSTS预测,2024年全球半导体市场将同比增长19.0%,达到6270亿美元。集成电路产业链涵盖设备、材料、设计、制造及封测等环节,其中设计和制造是利润核心。行业特点包括硅周期与经济周期的叠加、下游应用的持续迭代以及“牛鞭效应”导致的供需失衡。技术发展动力主要来自“摩尔定律”和“安迪-比尔定律”,同时政策支持也是重要的外部驱动力,如中国的大基金扶持政策。
高纯氧化铝粉体因其良好的化学稳定性、耐高温、强度大、绝缘性能好且耐磨性好,而被普遍应用在电子、催化、半导体和航空航天等领域。
例如,在半导体刻蚀设备中,刻蚀机腔室材料作为晶圆污染的主要来源,等离子刻蚀对其影响程度决定了晶圆的良率、质量、刻蚀工艺的稳定性等等。因此,研究和开发出一种极其耐刻蚀腔体材料成为半导体集成产业以及等离子刻蚀技术中一项极具挑战的任务。当前,主要采用高纯Al2O3涂层或Al2O3陶瓷作为刻蚀腔体和腔体内部件的防护材料。除了腔体以外,等离子体设备的气体喷嘴,气体分配盘和固定晶圆的固定环等也需用到高纯氧化铝陶瓷。再例如在晶圆抛光工艺中,氧化铝陶瓷可被广泛应用于抛光板、抛光磨垫校正平台、真空吸盘等。
然而,作为半导体产业的重要支撑材料之一,对氧化铝材料的技术研发和突破在我国仍较薄弱,国产高端氧化铝材料市场占有率仅有 3%-5%。圣华特瓷(北京)科技有限公司(以下简称“圣华特瓷”)自成立之初就投入大量资金、人力对a相高纯纳米氧化铝粉体进行研发,致力于解决我国在氧化铝新材料领域的“卡脖子”问题。
目前,圣华特瓷已实现年产各类高纯度纳米级a-氧化铝粉体产品超300吨,建设研发中心1个,生产基地2个。公司产品已应用于半导体CMP抛光、陶瓷静电卡盘制造、陶瓷电子基板制造、复合材料制造等领域,产品品质获得国内多家相关领域龙头企业与科研机构认可。

圣华特瓷可按客户需求生产各种规格指标产品,并确保质量过硬,供货稳定。
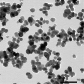
•SHTC-201高纯纳米级氧化铝微粉


•SHTC-301高纯纳米级氧化铝微粉

【产品特性】

* MgO为添加剂,不作为Al2O3中的杂质计算。
**未添加助焊剂,样品在29.4MPa(300kg/cm2),1100℃下烧结。

•低温烧结高强度氧化铝粉体

【产品特点】本产品在较低温度下烧结即可实现高强度、高密度,适用于对产品机械强度、耐磨性有较高要求的行业领域。
【适用领域】电子陶瓷基板、半导体结构件等领域。
•高纯纳米氧化铝材料是圣华陶瓷推出的新产品,在半导体行业中发挥着重要作用。

【产品特性】

结语
圣华特瓷深耕纳米氧化铝领域,以自主创新打破技术壁垒,推出多款高纯度、高性能粉体及陶瓷产品,助力半导体设备与工艺升级。公司以稳定供应、定制化服务及卓越品质为基石,诚邀产业链伙伴携手合作,共拓国产高端材料新篇章!欢迎垂询,共创价值。
参考来源:
[1] 陈雪谊等.高纯氧化铝粉体可控绿色合成及其吸附性能研究
[2] 半导体产业报告.大国博弈下的半导体产业:发展趋势与变革
[3] 粉体网.高纯氧化铝陶瓷:四大领域的关键‘瓷’器,尽显“纯净”魅力
[4] 圣华特瓷(北京)科技有限公司官网、粉体网企业展台
