全文共 1815 字,阅读大约需要6分钟
背景:佐剂是基于重组蛋白的现代疫苗的关键组成部分,这些疫苗通常免疫原性很差,没有其他免疫刺激剂。水包油乳剂包含一类高级的疫苗佐剂,它们是批准的季节性和大流行性流感疫苗的组成部分。但是,很少有报道系统地评估不同乳液组分的体外稳定性和体内佐剂作用。
目标:为了评估不同均质次数下,粒径的分布情况,均质三次是否可以满足要求。
方法:通过高压微射流均质机制备乳液,并通过动态光散射,电镜测试相关的结果。
结果:我们证明了均质三次,结果已经达到了预期,但是仍然有明显的大颗粒的存在。
结论:通过微射流均质机可以制备质量较好的疫苗佐剂,水包油乳剂可以显着增强针对大流行性流感抗原的抗体和细胞免疫反应。
关键词:微射流均质机;纳米粒度仪;水包油乳剂;大流行性流感;疫苗佐剂;
1 疫苗佐剂综述
疫苗接种的目的就是要获得对疾病持久的免疫保护反应。 与弱毒疫苗不同,灭活疫苗或亚单位疫苗通需要疫苗佐剂的参与才能更好的发挥作用。“佐剂”一次来自于拉丁语“ Adjuvare ”一词,为“帮助”或“辅助”之意。免疫佐剂的生物作用包括:
1 抗原物质混合佐剂注入机体后,改变了抗原的物理性状,可使抗原物质缓慢地释放,延长了抗原的作用时间;
2 佐剂吸附了抗原后,增加了抗原的表面积,使抗原易于被巨噬细胞吞噬;
3 佐剂能刺激吞噬细胞对抗原的处理;
4 可刺激致敏淋巴细胞的分裂和浆细胞产生抗体。故免疫佐剂的作用可使无免疫原性物质变成有效的免疫原;
5 佐剂可促进淋巴细胞之间的接触,增强辅助 T 细胞的作用
6 可提高机体初次和再次免疫应答的抗体滴变;
7 改变抗体的产生类型以及产生迟发型变态反应,并使其增强。
人们正是因为观察到疫苗接种位点处形成的脓肿协助机体产生了针对特异性抗原更强的免疫反应, 从而形成了疫苗佐剂的理念。与接种抗原不相关的物质形成的脓肿坏死也能增强疫苗的特异性免疫反应。
油乳剂佐剂继铝盐类佐剂后用于人用疫苗佐剂,包括水包油或油包水乳剂,如,弗氏不完全佐剂, Montanide系列,佐剂 65。通过在接种位点形成抗原贮存库降低抗原的释放速度, 以及刺激产生抗体的浆细胞发挥佐剂效应。
油乳剂的副作用主要包括在接种位点处形成炎症反应,肉芽肿以及溃疡。为了筛选出更稳定,毒性更小的油乳剂,已经对不同来源的多种天然油进行了评估。水包油和油包水疫苗佐剂是继弗氏不完全佐剂发展起来的油乳佐剂,更加稳定,毒副作用也更小。
2 材料与方法
1 实验设备:
中试型高压微射流均质机(PSI-20高压微射流均质机,意大利PSI均质机公司),配备75微米(E102D,G10Z)孔径“Y型”通道金刚石交互容腔(均质腔)。纳米粒度及Zeta电位仪(Z3000纳米粒度及Zeta电位仪,美国PSS公司)。
2 实验材料:
聚山梨酯80,泊洛沙姆188,甘油,缓冲液,山梨糖醇三油酸酯,卵磷脂酰胆碱,α-生育酚。
3 实验步骤:
通过水相和油相分开制备来制备所有乳液制剂。在搅拌下将聚山梨酯80,泊洛沙姆188,甘油和缓冲液组分溶解在水相中,而将山梨糖醇三油酸酯,卵磷脂酰胆碱和α-生育酚在超声处理和加热下溶解在油相中。然后Silverson实验型混合机乳化剂将水相和油相以1000 g混合10分钟(得到粗乳液。通过PSI-20高压微射流均质机将粗乳液在207 MPa(30000 psi)下均质3遍(图示一),水浴温度设置为室温,测试粒径变化情况。



图示一:A).本实验所用PSI-20高压微射流均质机图片。B).金刚石交互容腔内部概览图,孔径为75微米。C).交互容腔内部剖面图,剪切率约为2×106/秒。
3 试验结果
使用Z3000纳米粒度仪分别测试均质3次的粒径变化,均质次的粒度为:163.9nm、150.5nm、135.8nm,结果如下(图示二)。





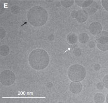
图示二 A:均质第一次的粒径结果,B均质第二次的粒径结果,C均质第二次的粒径结果,D均质三次结果对比,E电镜结果
从结果中可以看出均质三次后粒径发生了很大的变化,从电镜结果中可以看出,均质三次的样品有明显的大颗粒的存在,所以均质三次还是不够的,通常情况下仍要增加均质次数来达到更好的粒径结果,查询相关的文献发现,不同的乳化剂对于粒径的影响很大,较好的配方能够在减少的均质次数的情况下获得更小更好的粒径分布,并且存储时间更长,这些还需要进一步的实验去论证。
4 结论
通过PSI-20微射流均质机可以在较短的时间内制备出较好的疫苗佐剂,粒径结果较好。水包油型流感抗原佐剂能有效地增加免疫广度,降低所需抗原剂量。为了充分发挥这些佐剂在各种环境下的潜力,稳定性和替代成分可能更便宜或更容易获得是重要的考虑因素。在实验中得到的颗粒大小结果也是一个很好的参考意义,这对于发展中国家有很好的指导作用。PSI和PSS可以很好的满足这一实验的测量。
